Mụn luôn được xem là “kẻ thù không đội trời chung” của làn da, gây ra không ít phiền toái về thẩm mỹ lẫn tâm lý. Trong số đó, mụn chai là một trong những loại mụn khiến nhiều người đau đầu nhất bởi tính “lì”, ăn sâu dưới da và rất khó điều trị dứt điểm trong thời gian ngắn.
Mụn chai là nỗi ám ảnh của nhiều người khi chăm sóc da – Ảnh: Internet
Vậy mụn chai là gì, mụn chai có tự hết không và làm sao để điều trị hiệu quả? Hãy cùng Học Viện Chăm Sóc Sắc Đẹp – Hướng Nghiệp Á Âu tìm hiểu chi tiết qua bài viết dưới đây để có hướng chăm sóc da đúng cách và an toàn nhé!
Mụn Chai Là Gì?
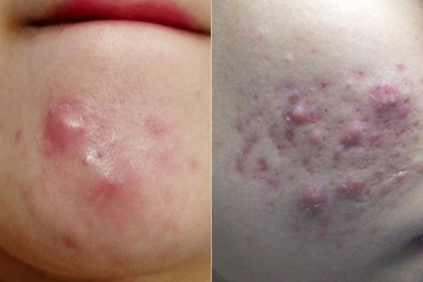
Mụn chai không phải là một loại mụn riêng biệt, mà là tình trạng các nốt mụn bọc, mụn viêm tồn lại dưới da quá lâu và không được xử lý đúng cách, khiến nhân mụn tích tụ và xơ cứng theo thời gian. Khi đó, mụn hình thành các cục chai cứng nổi cộm trên bề mặt da, nằm sâu bên dưới, rất khó gom cồi và gần như không thể tự xẹp.
Khác với mụn viêm thông thường, mụn chai ít gây sưng đau hay đỏ rát, nhưng lại âm thầm tồn tại dai dẳng. Các nốt mụn này thường có màu nâu hoặc đỏ thẫm, khiến vùng da trở nên sần sùi, kém mịn màng và dễ để lại thâm, sẹo nếu không được điều trị đúng cách. Ngoài khuôn mặt, mụn chai còn có thể xuất hiện ở nhiều vị trí khác trên cơ thể như lưng, bụng, mông, gây ảnh hưởng không nhỏ đến thẩm mỹ và sự tự tin.
Mụn chai tồn tại sâu dưới da, rất khó để tự xẹp – Ảnh: Internet
Nguyên Nhân Hình Thành Mụn Chai
Mụn chai chủ yếu xuất phát từ việc điều trị mụn sai cách hoặc do thói quen sinh hoạt kém lành mạnh. Những nguyên nhân phổ biến dẫn đến tình trạng này bao gồm:
- Không xử lý mụn sớm: Mụn viêm tồn tại kéo dài khiến mô da bị xơ hóa, hình thành các nốt mụn cứng, khó gom cồi và khó điều trị.
- Nặn mụn sai cách: Nặn mụn chưa “chín”, dùng tay hoặc dụng cụ không vệ sinh dễ gây tổn thương, nhiễm trùng và làm mụn chai cứng hơn.
- Quy trình chăm sóc da không phù hợp: Làm sạch chưa kỹ, quy trình skincare không đúng với da mụn tạo điều kiện cho vi khuẩn phát triển.
- Chạm tay, tác động nhiều lên vùng mụn: Việc sờ, chà xát hoặc massage da khi đang bị mụn làm ổ viêm bị kích thích, khiến mụn khó lành.
- Sử dụng mỹ phẩm gây kích ứng hoặc bít tắc: Các sản phẩm không phù hợp, đặc biệt là có hoạt chất mạnh, có thể làm dày sừng và giữ nhân mụn kẹt dưới da.
- Vi khuẩn và môi trường kém vệ sinh: Chăn, gối, khăn mặt không được vệ sinh thường xuyên là nguồn lây nhiễm vi khuẩn gây mụn.
- Rối loạn nội tiết và sinh hoạt thiếu khoa học: Stress, thức khuya, thay đổi hormone khiến tuyến bã nhờn hoạt động mạnh, mụn viêm kéo dài và dễ chuyển thành mụn chai.
Nặn mụn bằng tay dễ dẫn đến tình trạng nhiễm trùng, làm mụn chai cứng hơn – Ảnh: Internet
Mụn Chai Có Tự Hết Được Không?
Rất hiếm các trường hợp mụn chai tự hết hoàn toàn. Do nhân mụn đã bị xơ cứng và nằm sâu dưới da nên nếu không can thiệp đúng cách, mụn chai có thể tồn tại trong thời gian dài, thậm chí tái phát nhiều lần. Trong một số trường hợp nhẹ, mụn có thể xẹp bớt nhưng vẫn để lại thâm sậm hoặc sẹo lõm.
Vì vậy, để xử lý mụn chai hiệu quả, bạn cần kiên trì điều trị theo đúng quy trình, tránh tâm lý nóng vội hoặc tự ý nặn mụn tại nhà.
Mụn chai không thể tự “biến mất” bạn cần kiên nhẫn điều trị đúng quy trình – Ảnh: Internet
Cách Điều Trị Mụn Chai Hiệu Quả
Tùy theo mức độ chai cứng và tình trạng da, mụn chai có thể được cải thiện bằng các phương pháp từ cơ bản đến chuyên sâu.
Sử dụng thuốc bôi đặc trị
Các sản phẩm dạng kem, gel hoặc lotion chứa Benzoyl Peroxide, Retinoids, AHA, BHA (Salicylic Acid) hay kháng sinh giúp kháng khuẩn, kháng viêm, làm mềm lớp sừng và hỗ trợ đẩy nhân mụn. Trong quá trình sử dụng, cần dưỡng ẩm đầy đủ, chống nắng kỹ và uống nhiều nước để hạn chế khô da, kích ứng.
Điều trị lâu dài bằng Isotretinoin
Isotretinoin là hoạt chất được dẫn xuất từ vitamin A mạnh, giúp giảm tiết bã nhờn, thông thoáng lỗ chân lông và ngăn ngừa mụn tái phát. Phương pháp này cần được theo dõi chặt chẽ bởi bác sĩ da liễu, đặc biệt với phụ nữ mang thai hoặc đang có kế hoạch mang thai.
Isotretinoin là hoạt chất thường được sử dụng để điều trị mụn chai – Ảnh: Internet
Kết hợp thuốc uống theo chỉ định bác sĩ
Với mụn chai dai dẳng, bác sĩ có thể chỉ định thuốc uống như thuốc điều hòa hormone, kháng viêm – kháng dị ứng, kháng sinh hoặc Retinoid liều thấp (5–20mg) nhằm kiểm soát bã nhờn, giảm viêm và tiêu diệt vi khuẩn gây mụn. Tuy nhiên, không nên tự ý mua về sử dụng để tránh tác dụng phụ và kháng thuốc.
Peel da y khoa
Peel da giúp loại bỏ lớp tế bào chết dày sừng trên bề mặt, hỗ trợ làm lộ nhân mụn chai và tăng hiệu quả điều trị. Đây là kỹ thuật chuyên môn cao, nên thực hiện tại các cơ sở y tế hoặc clinic uy tín để đảm bảo an toàn.
Peel da là phương pháp loại bỏ lớp sừng dày trên mặt một cách nhanh chóng – Ảnh: Internet
Ứng dụng công nghệ cao
Các công nghệ như chiếu ánh sáng sinh học, IPL hoặc laser giúp gom nhân mụn, kiểm soát dầu, giảm viêm và cải thiện chất lượng da, thường được xây dựng theo phác đồ cá nhân hóa.
Tiểu phẫu mụn chai
Với những nốt mụn chai cứng lâu năm, tiểu phẫu là giải pháp hiệu quả. Bác sĩ sẽ gây tê tại chỗ, rạch nhỏ và loại bỏ nhân mụn bằng dụng cụ chuyên dụng, sau đó sát khuẩn và chăm sóc phục hồi để hạn chế để lại sẹo.
Lưu Ý Khi Điều Trị Mụn Chai
Để tránh tình trạng mụn chai trở nên nghiêm trọng hơn, bạn cần lưu ý:
- Làm sạch da 2 lần/ngày bằng sữa rửa mặt phù hợp và tẩy trang kỹ để loại bỏ dầu thừa, bụi bẩn gây bít tắc lỗ chân lông.
- Tuyệt đối không tự ý nặn mụn chai tại nhà vì có thể khiến nhân mụn đi sâu hơn, viêm kéo dài và dễ để lại thâm sẹo.
- Không lạm dụng các sản phẩm trị mụn mạnh khi da đang tổn thương, ưu tiên mỹ phẩm dịu nhẹ, không gây kích ứng.
- Luôn dưỡng ẩm đầy đủ, đắp mặt nạ hỗ trợ trị mụn 1–2 lần/tuần và sử dụng kem chống nắng mỗi ngày để bảo vệ da.
- Tránh chạm tay lên mặt, giữ môi trường sinh hoạt sạch sẽ nhằm hạn chế vi khuẩn tiếp xúc với vùng da mụn.
- Kiên trì điều trị theo đúng liệu trình, không nóng vội hoặc bỏ dở giữa chừng khi mụn chưa cải thiện rõ rệt.
- Duy trì chế độ sinh hoạt lành mạnh, hạn chế thức khuya và uống đủ nước để hỗ trợ quá trình phục hồi da từ bên trong.
Khi điều trị mụn chai không nên dùng tay chạm lên mặt – Ảnh: Internet
Cách Phòng Ngừa Tình Trạng Mụn Chai
- Làm sạch da đúng và đủ mỗi ngày giúp loại bỏ dầu thừa, vi khuẩn và hạn chế tình trạng bít tắc lỗ chân lông gây mụn chai.
- Điều trị mụn viêm ngay từ giai đoạn đầu, tuyệt đối không nặn mụn non mà để mụn gom cồi tự nhiên, kết hợp hoạt chất phù hợp để đẩy nhân mụn an toàn.
- Hạn chế sờ tay, chà xát hoặc tác động lực lên nốt mụn để tránh đưa vi khuẩn vào da và làm mụn viêm kéo dài, dễ chai cứng.
- Sử dụng mỹ phẩm phù hợp với tình trạng da, ưu tiên các sản phẩm hỗ trợ điều hòa sừng hóa và ngăn ngừa nhân mụn tích tụ dưới da.
- Thăm khám và chăm sóc da định kỳ tại các cơ sở uy tín giúp kiểm soát mụn đúng cách, giảm nguy cơ mụn viêm tiến triển thành mụn chai.
Mụn chai là nỗi ám ảnh của không ít người bởi tính chất “lì lợm” và khó điều trị trong thời gian ngắn. Tuy nhiên, chỉ cần kiên nhẫn, chăm sóc da đúng cách và lựa chọn phương pháp điều trị phù hợp, bạn hoàn toàn có thể nói lời “tạm biệt” với loại mụn khó chịu này.
Sở hữu làn da khỏe đẹp chính là nền tảng giúp bạn thêm tự tin và chủ động hơn trong mọi khoảnh khắc của cuộc sống. Đừng quên theo dõi website Học Viện Chăm Sóc Sắc Đẹp – Trường đào tạo học viên spa chuyên nghiệp để liên tục cập nhật những kiến thức chăm sóc da khoa học, xu hướng làm đẹp mới và giải pháp phù hợp cho từng tình trạng da nhé!
















































Có (0) bình luận cho: Mụn Chai Là Gì? Mụn Chai Có Tự Hết Không?
Chưa có đánh giá nào.